H5C10L Dual Head
Frequency: 3.2 – 5 MHz / 7.5 – 10 MHz
Max Depth: 30.5 cm / 8 cm
Element: 192
Mode: B, B/M, Color, PDI, PW
스마트 기기와 무선 연결로 간편함
3개의 모델로 다양한 임상 적용
192 element의 고화질로
이미지 최적화 구현
Informed Decision 강화
B, B/M, Color, PDI, PW 모드 탑재
DICOM 지원
풀옵션으로 추가비용 없이
모든 기능 사용 가능
Frequency: 3.2 – 5 MHz / 7.5 – 10 MHz
Max Depth: 30.5 cm / 8 cm
Element: 192
Mode: B, B/M, Color, PDI, PW
Frequency: 3.2 – 5 MHz
Max Depth: 30.5 cm
Element: 192
Mode: B, B/M, Color, PDI, PW
Frequency: 3.2 – 5 MHz
Max Depth: 30.5 cm
Element: 128
Mode: B, B/M, Color, PDI, PW
Frequency: 7.5 – 10 MHz
Max Depth: 10 cm
Element: 192
Mode: B, B/M, Color, PDI, PW
Frequency: 10 – 14 MHz
Max Depth: 5.5 cm
Element: 128
Mode: B, B/M, Color, PDI, PW
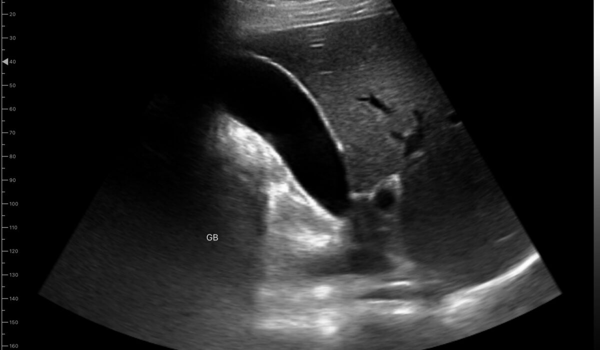
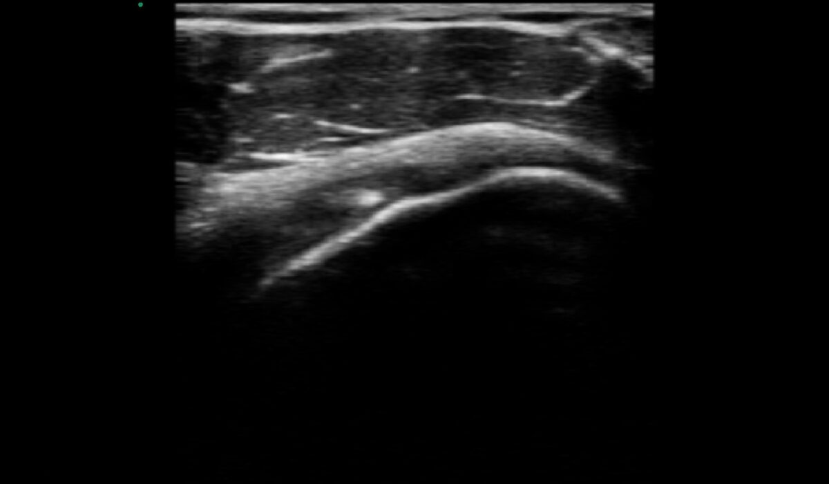
B mode
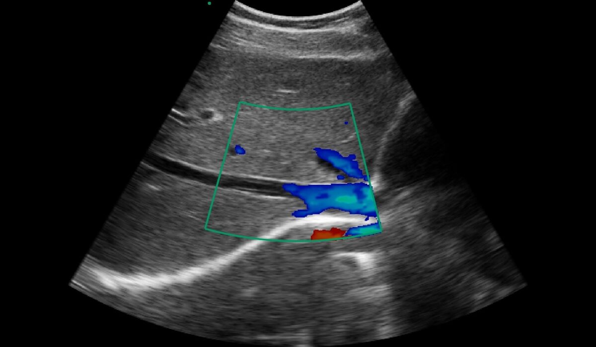
Color mode
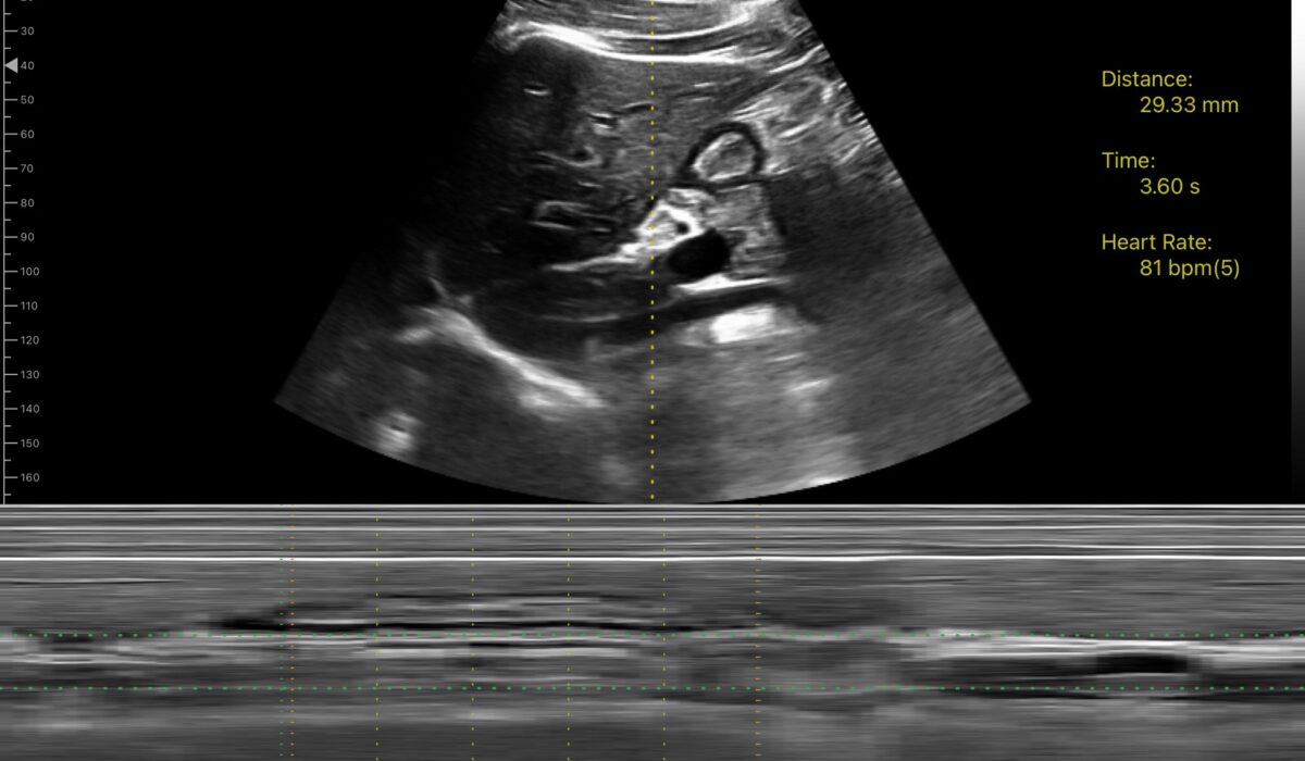
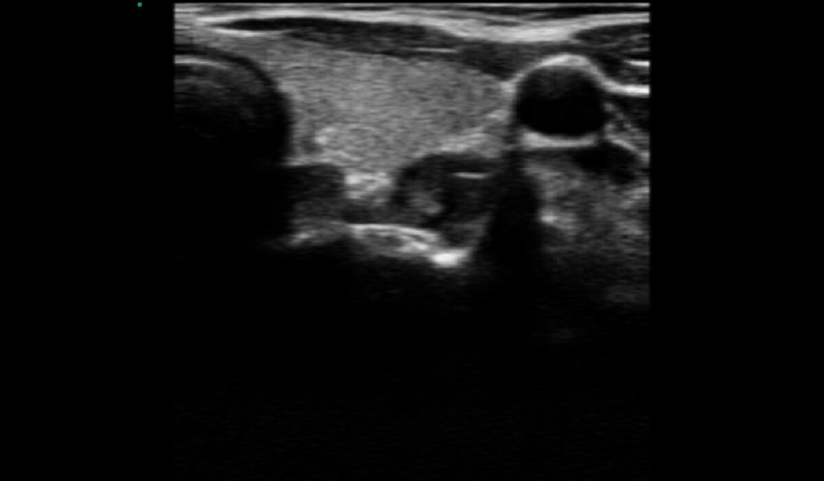
M mode
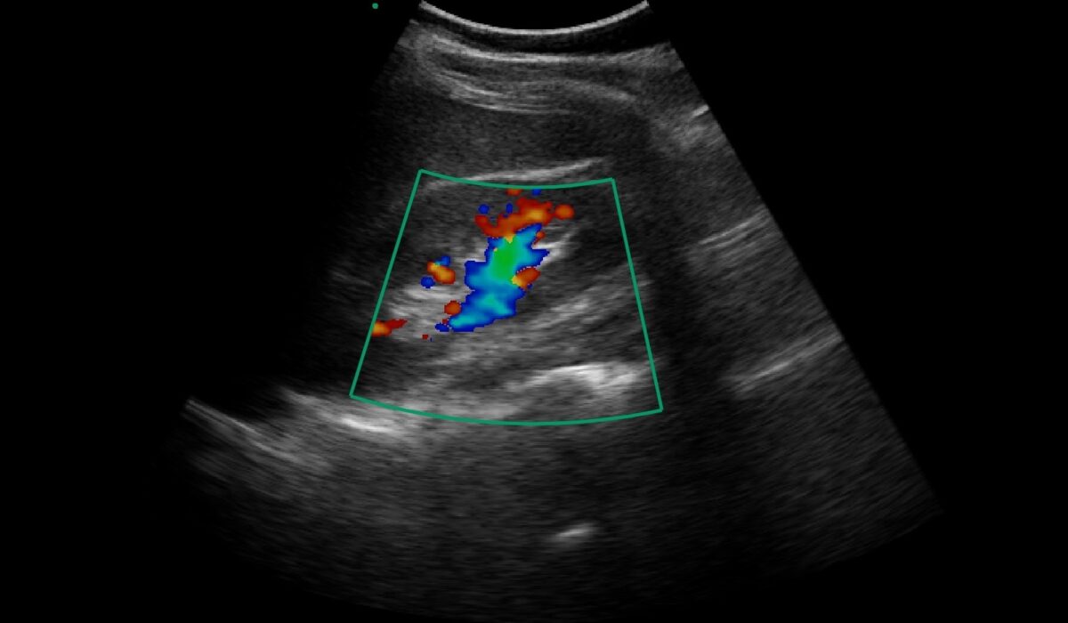
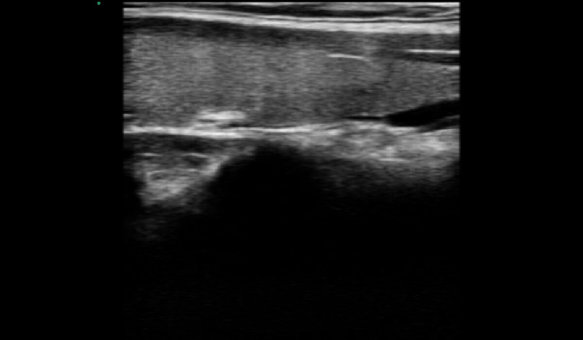
PDI
DICOM
PW










Go Wireless, Scan Easy.
Make your ultrasound workflow Simpler & Easier with SonoMe

Go Wireless, Scan Easy.
Make your ultrasound workflow
Simpler & Easier with SonoMe